![]()
A-Wurf Sajas Hope for Sun


Charon of Camelot * Farah-Janneke of Black Tit's Nest
Janni wurde am 3./4.12. 2001 von Charon of Camelot gedeckt!
Sie warf am 03. Februar 2002 11 gesunde, schwarze Flatwelpen. Mutter und Welpen sind nach 8stündiger Geburt wohlauf.
Bilder von unserem ersten Wurf hier.
Fotos von der werdenen Mutter hier.
Aktuell:
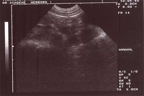
Während des Ultraschalls vom 26.01.2002 am Tag 55 nach Decktermin konnte man deutlich den Herzschlag eines Welpen erkennen. Hier das Foto:

Man erkennt im linken mittigen Bereich das Herz(schwarzer Fleck) eines Welpen sowie seine Wirbelsäule(hell, geschwungen).
Das Ultraschallergebnis vom 23.12.2001 am Tag 19 nach Decktermin ergab, dass Janni aufgenommen hat:

Die 4 schwarzen Flecken oben zu sehen sind die Früchte.
Das Ultraschallergebnis vom 02.01.2002 am Tag 28 nach Decktermin bestätigte die vorhandene Trächtigkeit Jannis:

Hier deutlicher zu erkennen drei Fruchtblasen auf einem Bild.
Deckrüde "Charon of Camelot" :


Wir haben Charon ausgesucht,
- weil er gesund ist und bis jetzt auch gute Gesundheit vererbt hat
- weil er ein sehr temperamentvoller, fröhlicher und (kinder-) freundlicher Rüde ist und somit gut zu Janni vom Wesen her paßt
- weil er -wie auch anhand der zahlreichen Prüfungen ersichtlich- sehr gut und mit großer Freude arbeitet
- weil er ein sehr hübscher Flatrüde ist, was er auf einigen Ausstellungen bereits erfolgreich bewiesen hat
Charons Eltern: Waverton Rose nach Ch.Camwood Flying Dutchman
Geworfen am: 15.03.1997
Charons Gesundheit: HD A1, ED frei, Augenuntersuchung 2001
Charons Prüfungen: WT, BHP A, Dummy A+F, JP/R, JEP/s, VGP, Btr
Charons Ausstellungen: Deutscher Champion m. Arbeitsprüfung, Deutscher Champion VDH, Deutscher Jugend-Champion, Clubsieger'99
AUFZUCHT:
Unsere Welpen werden in meinem Zweitwohnsitz in Herborn aufgezogen, wo sie rund um die Uhr betreut werden. Sie wachsen dort mit Familienanschluß im Haus mit großem Garten auf und werden von uns bestmöglichst sozialisiert und geprägt. Wir machen die Welpen mit allen haushaltsüblichen Gegenständen und Geräuschen vertraut. Ferner lernen unsere Welpen aus dem Rudel meiner Mutter erwachsene Hunde und auch Katzen kennen. Sie sollen gut auf das Leben in ihrer künftigen Familie vorbereitet sein, damit sie freundliche, unerschrockene und fröhliche Begleiter werden.
![]()